Ein strahlendes Lächeln und gesunde Zähne sind wichtige Bestandteile unseres Wohlbefindens und tragen entscheidend zu einem positiven Erscheinungsbild bei. Die richtige Zahnpflege spielt dabei eine zentrale Rolle und lässt sich oft schon mit einfachen Mitteln in den Alltag integrieren. Es gibt zahlreiche praktische Tipps und natürliche Methoden, um die tägliche Mundhygiene unkompliziert zu unterstützen und das persönliche Wohlgefühl zu steigern. Wer Wert auf gesunde Zähne legt, kann mit wenigen Handgriffen viel für die eigene Mundgesundheit tun – und das ganz ohne großen Aufwand.
1.
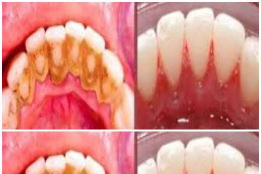
Zahnbelag selbst entfernen: Schnelles und einfaches Hausmittel
Zahnbelag kann zu ernsthaften Problemen der Mundgesundheit wie Karies und Zahnfleischerkrankungen führen. Regelmäßige Zahnarztbesuche sind für die Erhaltung der Mundgesundheit unerlässlich, aber es gibt auch einfache, effektive Möglichkeiten, wie Sie den Zahnbelag zwischen den Besuchen zu Hause bekämpfen können. Hier ist eine einfache und schnelle Methode, um Zahnbelag zu reduzieren, ohne sofort zum Zahnarzt gehen zu müssen.
Zutaten:
1 Esslöffel Backpulver: Ein mildes Schleifmittel, das den Zahnbelag sanft abschrubbt.
1/2 Teelöffel Salz: Wirkt als sanftes Schleifmittel und Antiseptikum, um Bakterien abzutöten.
Genug Wasser, um eine Paste zu bilden: Wasser hilft, das Salz aufzulösen und die Zutaten richtig zu vermischen.
Anleitung:
Zutaten mischen:
In einer kleinen Schüssel
Backpulver und Salz vermischen.
Der Mischung etwas Wasser hinzufügen, um eine Paste zu bilden. Die Konsistenz sollte dick genug sein, um an Ihrer Zahnbürste zu haften, aber nicht zu flüssig.
Richtig putzen:
Zahnbürste in die Paste tauchen.
Putzen Sie Ihre Zähne gründlich und achten Sie dabei besonders auf Bereiche, in denen sich mehr Plaque ansammelt, wie z. B. entlang des Zahnfleischrands und zwischen den Zähnen. Putzen Sie mindestens zwei Minuten lang mit sanften kreisenden Bewegungen, um Ihr Zahnfleisch nicht zu verletzen.
Achten Sie darauf, alle Oberflächen Ihrer Zähne zu putzen – Vorder-, Rückseite und Kauflächen.
Spülen Sie Ihren Mund aus:
Spülen Sie Ihren Mund nach dem Zähneputzen gut mit Wasser aus, um Reste der Paste und gelösten Plaque zu entfernen.
Regelmäßig wiederholen:
Diese Methode kann ein- oder zweimal pro Woche als Teil Ihrer regelmäßigen Mundhygiene angewendet werden. Sie sollte jedoch das tägliche Zähneputzen und die Verwendung von Zahnseide mit fluoridhaltiger Zahnpasta nicht ersetzen.
Weitere Tipps:
Regelmäßige Zahnpflege: Putzen Sie weiterhin zweimal täglich mit fluoridhaltiger Zahnpasta und verwenden Sie täglich Zahnseide. Diese selbstgemachte Paste ist eine Ergänzung und kein Ersatz für normale Zahnpasta.
Empfindlichkeit: Wenn Sie Empfindlichkeit oder Reizung verspüren, verwenden Sie diese Paste seltener oder stellen Sie die Verwendung ein und konsultieren Sie einen Zahnarzt.
UM.den ReST.Zu sehen, Ti.ppen Sie auf das Fo-to
2.
Zahnbelag selbst entfernen: Schnelles und einfaches Hausmittel
Zahnbelag kann zu ernsthaften Problemen der Mundgesundheit wie Karies und Zahnfleischerkrankungen führen. Regelmäßige Zahnarztbesuche sind für die Erhaltung der Mundgesundheit unerlässlich, aber es gibt auch einfache, effektive Möglichkeiten, wie Sie den Zahnbelag zwischen den Besuchen zu Hause bekämpfen können. Hier ist eine einfache und schnelle Methode, um Zahnbelag zu reduzieren, ohne sofort zum Zahnarzt gehen zu müssen.
Zutaten:
1 Esslöffel Backpulver: Ein mildes Schleifmittel, das den Zahnbelag sanft abschrubbt.
1/2 Teelöffel Salz: Wirkt als sanftes Schleifmittel und Antiseptikum, um Bakterien abzutöten.
Genug Wasser, um eine Paste zu bilden: Wasser hilft, das Salz aufzulösen und die Zutaten richtig zu vermischen.
Anleitung:
Zutaten mischen:
In einer kleinen Schüssel Backpulver und Salz vermischen.
Der Mischung etwas Wasser hinzufügen, um eine Paste zu bilden. Die Konsistenz sollte dick genug sein, um an Ihrer Zahnbürste zu haften, aber nicht zu flüssig.
Richtig putzen:
Zahnbürste in die Paste tauchen.
Putzen Sie Ihre Zähne gründlich und achten Sie dabei besonders auf Bereiche, in denen sich mehr Plaque ansammelt, wie z. B. entlang des Zahnfleischrands und zwischen den Zähnen. Putzen Sie mindestens zwei Minuten lang mit sanften kreisenden Bewegungen, um Ihr Zahnfleisch nicht zu verletzen.
Achten Sie darauf, alle Oberflächen Ihrer Zähne zu putzen –
Vorder-, Rückseite und Kauflächen.
Spülen Sie Ihren Mund aus:
Spülen Sie Ihren Mund nach dem Zähneputzen gut mit Wasser aus, um Reste der Paste und gelösten Plaque zu entfernen.
Regelmäßig wiederholen:
Diese Methode kann ein- oder zweimal pro Woche als Teil Ihrer regelmäßigen Mundhygiene angewendet werden. Sie sollte jedoch das tägliche Zähneputzen und die Verwendung von Zahnseide mit fluoridhaltiger Zahnpasta nicht ersetzen.
Weitere Tipps:
Regelmäßige Zahnpflege: Putzen Sie weiterhin zweimal täglich mit fluoridhaltiger Zahnpasta und verwenden Sie täglich Zahnseide. Diese selbstgemachte Paste ist eine Ergänzung und kein Ersatz für normale Zahnpasta.
Empfindlichkeit: Wenn Sie Empfindlichkeit oder Reizung verspüren, verwenden Sie diese Paste seltener oder stellen Sie die Verwendung ein und konsultieren Sie einen Zahnarzt.
Professionelle Reinigung: Achten Sie darauf, regelmäßig zur Zahnuntersuchung und Zahnreinigung zu gehen. Professionelle Pflege ist unerlässlich, um Munderkrankungen vorzubeugen und Bereiche zu behandeln, die sich zu Hause nur schwer gründlich reinigen lassen.
Warum es funktioniert:
UM.den ReST.Zu sehen, Ti.ppen Sie auf das Fo-to

















